Cabinet Dentaire PLEIN AXE
Parodontologie, Omnipratique Esthétique et Alignement Dentaire
87 avenue Maréchal de Saxe, 69003 Lyon
+33 4 72 41 86 06
Cabinet Dentaire PLEIN AXE
Parodontologie, Omnipratique Esthétique et Alignement Dentaire

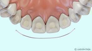
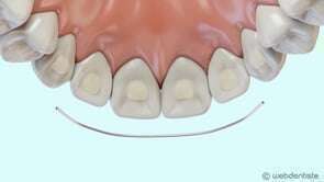
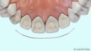
Fil de contention


video-play-icon

Articles similaires

Création par Webdentiste

Connexion